DR. JOSÉ LUIS VÁZQUEZ TORRES

Cardiólogo Clínico con Alta Especialidad en Hemodinamia y Cardiología Intervencionista.

CASO CLINICO DE PERICARDITIS

ATENDIDO EN HOSPITAL ANDALUCIA, TORREÓN COAH.

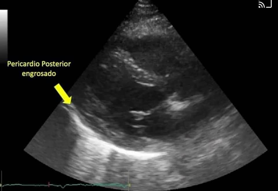
Hombre de 32 años, sin antecedentes crónicos ni cardiovasculares, 13 días previos con síndrome gripal, el día que acudió a valoración fue por dolor en el pecho opresivo-lancinante, muy intenso, irradiado a región esternal alta, aumentaba con la inspiración y movimientos rotatorios del tórax, reducía con el reposo,le presión arterial y frecuencia cardiaca normal, electrocardiograma compatible con pericarditis (inflamación de la bolsa que rodea al corazón), se da tratamiento mejorando a las 6 hrs sin complicaciones, se realiza ecocardiograma mostrando engrosamiento del pericardio. Seguimiento en la consulta sin molestias.

Picture of Dr. José Luis Vázquez Torres

Dr. José Luis Vázquez Torres

Cardiólogo Clínico con Alta Especialidad en Hemodinamia y Cardiología Intervencionista.

Scroll al inicio
Ir arriba