Ir al contenido
DR. JOSÉ LUIS VÁZQUEZ TORRES
Cardiólogo Clínico con Alta Especialidad en Hemodinamia y Cardiología Intervencionista.
Inicio
Mi Preparación Académica
Especialidades
Blog
Contacto
Menu
Inicio
Mi Preparación Académica
Especialidades
Blog
Contacto
Reserva una cita
NUESTRO BLOG
CASO CLINICO DE ANGIOPLASTÍA AL TRONCO CORONARIO IZQUIERDO (ARTERIA PRINCIPAL DEL CORAZÓN)
Ver Más »
CASO CLINICO DE INFARTO CARDIACO + CATETERISMO CARDIACO + ANGIOPLASTÍA
Ver Más »
CASO CLINICO DE BLOQUEO CARDIACO Y ARRITMIA LETAL
Ver Más »
CASO CLINICO DE ANGINA DE PECHO + CATETERISMO CARDIACO
Ver Más »
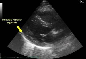
CASO CLINICO DE PERICARDITIS
Ver Más »
CASO CLINICO DE INFARTO AGUDO DEL MIOCARDIO + CATETERISMO CARDIACO + ANGIOPLASTÍA
Ver Más »
« Anterior
Siguiente »
Scroll al inicio
Ir arriba